(通讯员:李佳蕊)当马凡氏综合症遇上白内障,当脆弱的眼球遇上晶体大范围脱位,当超乎寻常的手术难度遇上患者渴求光明的希望,该如何解决,才能最大程度守护患者的光明?
	目前,武汉普瑞眼科医院白内障专科主任燕涛顺利完成了一台双眼晶体大范围脱位情况下的复杂性白内障手术,患者双眼视力分别从0.01、0.02恢复到0.5、0.4。据了解,随着后期的恢复,患者视力还可能进一步提升。
	纳闷:高度近视发展到看不清?
	今年50岁的沈女士,从小便被2000多度的高度近视所深深困扰,厚厚的酒瓶底眼镜不仅让她失去了原有的自信,更是让她时常处于“摸瞎”状态,离开眼镜世界就只剩下一片模糊,怎一个苦不堪言了得。
	几个月前,沈女士发现自己看东西开始变得更加模糊起来,还伴有重影,以为是近视度数再次加深的她没有引起重视,直到视物开始变得困难起来,沈女士才来到当地医院进行检查,不料检查的结果让她大吃一惊:除了高度近视,自己竟然患上了白内障。
	惊险:双眼晶体大范围脱位!
	在朋友的推荐下,得知武汉普瑞眼科医院白内障专科燕涛主任帮助过不计其数的患者重返年轻视界,考虑到自己还年轻,沈女士慕名而来,希望能挽回自己日后生活的光明。


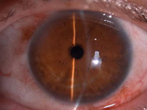
	(沈女士双眼大范围晶体脱位)
	燕主任在经过详细的检查后,发现沈女士左眼视力仅剩0.01,右眼视力仅剩0.02,不仅患有双眼白内障,更伴有双眼晶体大范围脱位,脱位范围超过3/4,晶体随时有掉入玻璃体内的风险,而且随着晶体逐渐脱位,沈女士的视力还会进一步下降,发展至失去视力功能。这种晶体对称性自发脱位的情况多见于一种闻名于医疗界的遗传性疾病——马凡氏综合症。
	据了解,目前大部分医院针对大范围晶体脱位采取的办法是先取出囊袋、韧带以及晶体,后期再通过缝线悬吊晶体,通过两个手术完成,但这样增大了手术的创伤,也增加了感染的风险。这对于沈女士而言无疑是晴天霹雳的消息:“自己还这么年轻,难道从此真的就要与光明无缘了吗?”
	攻克:最大程度保全眼球结构!
	普通的白内障手术需要有囊袋和韧带的支撑才能完成,但考虑到沈女士的囊袋韧带大部分断裂,支撑几乎没有,燕涛主任在通过综合考虑后,为其“量眼定制”了一套详细的手术方案:用缝线固定张力环,以张力环的力量代替断裂的韧带力量,然后保留囊袋韧带的功能+超声乳化白内障手术+人工晶体植入术。不仅能最大程度保证其眼睛的正常生理结构,而且还能减少对眼睛造成的创伤。
	手术中,由于沈女士晶体大范围脱位,囊袋韧带大部分断裂,这就要求手术医生每一步都要保证轻柔到位,避免操作不当,造成剩下的韧带断裂,晶体掉入玻璃体内,这对不少手术医生而言,都是巨大的挑战。最终,燕涛主任凭借着多年的手术经验与精湛的技术,在不依赖韧带力量基础下撕囊后,小心翼翼地将缝线张力环旋入囊袋内,再将其通过缝线固定于巩膜壁,屏住呼吸,用轻柔的手法进行劈核、吸出,清理囊袋,最后将人工晶体植入眼内,分别调整好人工晶体与囊袋和张力环的位置关系,保证整个晶体虹膜隔的居中性,最后手术顺利完成。

	(沈女士术后与燕主任合影)
	相比起平日里十分钟不到就能完成的普通白内障手术,这次的手手术花了近40分钟,回想起手术的过程,“手术如履薄冰,整个过程中大气不敢出一口,但最终顺利完成了,期待患者的恢复情况。”燕涛主任说道。
	惊喜:术后重燃光明新希望
	让人惊喜的是,沈女士术后的视力恢复良好,双眼视力分别从0.01、0.02恢复到0.5、0.4,当纱布揭下来的那一刻,她看着病床前的床号开心地说道:“这么多年来,我第一次能清楚的看到这个世界,往后的光明生活,终于让我看到了希望。”

	(燕主任为术后的沈女士检查)
	看到自己眼睛恢复的情况超乎自己的想象,沈女士更加坚定了自己不远千里来前来求医的正确选择,沈女士表示,在得知自己的眼睛情况这么复杂严重的时候,内心其实既担心又害怕,但是燕主任全程耐心细致地和自己沟通,手术过程中也没什么不适,不得不说,燕主任的技术真的太厉害了。


	(沈女士术后双眼情况)
	谈及这次攻克的疑难性白内障手术,燕主任说道:“虽然患者的情况比较复杂,但是作为医生还是要为了患者的长远情况考虑,之所以要用缝线固定张力环,保留囊袋和韧带的功能,是为了能保全患者完整的眼球结构,尽量减少后段玻璃体的骚扰,减少术后并发症和其他问题的产生。尽管手术操作棘手,挑战难度较大,但不断攻克难关,为患者带去光明和希望,才是作为一个眼科医生应有的本心与初衷。”




 


















