【骨医大成】是河北省衡水市一个骨科门派,即是骨科门派,就意味着几乎所有的骨病都有较好的解决办法;并且在同行业中有比较明显的过人之处:和比较简单的可操作性;治疗过程的风险,比常规治疗要小得多;愈后比常规治疗要强得多;对人体的伤害有很明显减轻或者没有伤害的差别;医疗费有很明显减少的特点。这就是门派的特殊性。衡水‘骨医大成’有多少过人之处呢?请看下面详细介绍;

【骨医大成】在骨伤科方面表现有十六大突出优势,为世间一流绝技,无论哪一项整体效果比常规治疗也强百倍。
一、治疗骨折,用药后最快二十分钟就可以断骨长住,并立即减轻疼痛,最慢一天内断骨也可以长住,【这是由于部位和性质的不同,或体质的差异】。
二、 新骨折二十天治愈的最多,由于骨折部位和性质的不同,慢的三十五天也都可以治愈。
三、 粉碎性骨折碎骨离位五公分内都可以长回到原位,避免手术的清理,而且比清理后长的骨痂强百倍不止。
四、 倒下的断骨用药后可以自动站起来,不用手术矫正,固定,这是很简单的治疗。
五、关节腔内骨折带脱臼,用药后都可以长回到原位。常规手术是很麻烦的。
六、开放性骨折我们可以结合用生肌散,也可以用于其他伤口,每天换药都可以看到伤口快速生长的成绩,一般的伤口三天就长好了。

七、筋断,有的骨折并发筋断,也有单纯筋断的,我们有续筋膏,一般二十天治愈。常规治疗四五个月,有的能长好,有的长不住。比对方显神效。
八、有骨折连带闭合性创伤肿痛的,我们有创伤祛痛酊,三天内必定消肿。
九、有骨折并发淤血的,我们有通脉活血膏,专治淤血。
十、对陈旧性骨折的治疗,我们中医就会用辩证的方法找到骨痂不长的原因,并做相应的调理后,骨痂很快再生,这就是中医的特长。
十一、断骨对位时我们有麻沸散,可以很大程度上减轻患者痛苦。
十二、由于治疗愈合病期短,百分之九十五以上没有后遗症,这个数字与现在的常规治疗是相反的,致残率是极低的,这是一个极其重要的数据。对社会,对家庭的影响几乎是翻天覆地的。
十三、骨折连带内脏伤害,无论伤到那个脏腑,都有相应的治疗方法,而且这些方法都是方简效宏的,不用把脾摘掉都可以治好,不用把肝切除一般可以治好,尿血可以治好,便血也可以治好,现在的常规治法是很困难的,在‘骨医大成’面前几乎都很简单就可以治好。
十四、这里的治疗几乎不用手术,但比手术治疗愈合期缩短五至二十倍,再生的骨痂抗强度比没骨折前还要成倍提高,所以没有原位二次骨折发生,自觉比骨折前力量大了很多。
十五、‘骨医大成’的治疗还有很多现代常规治疗的盲区,比如,手上的骨折并发瘴手腕子;脚上的骨折并发崴脚;颈椎骨折并发落枕:肋骨骨折并发岔气:腰椎骨折并发闪腰。这都是西医理论没有的知识。
十六、‘骨医大成’在治疗骨病方面都有很全面的医术技巧:就常用的方法也很多,中药,膏贴,针灸,刮痧,拔罐,放血,导引术,推拿,砭煟,熏蒸,热敷,药浴,艾灸。很多常规解决不了的难题,几乎都可以得到解决。
【骨医大成】的问世,绝对是医疗界的逆天革命;这在医学的发展史上绝对浓墨重彩的一笔。【骨医大成】的问世,让西方医学如同跳梁小丑变得苍白羞臊。让那些高贵的无效医疗见鬼去吧。
这一绝世医学等待能人志士来开发。无论有经营能力的,有投资能力的,愿意办世界上最先进的医院,最有能力的医院,医术都是世界一流的,无论你那一项投资都不如投资办这个医院的意义重大,可以千古流芳,可以救治天下病痛易如反掌。可以拯救天下千万个家庭,一人残废,全家累赘。可以让病难罪体,变为其乐融融。

希望能引起国家的重视,可以让天下所有的医院都用我的方法治疗骨折、骨病,改变现在的高技术,低效益,劳民伤财治残废的局面。
【骨医大成】横空出世,等待有志之士开发。
【骨医大成】第一掌门人河北省衡水市冀州张雨更 电话;18630583167
骨折,这个常见的突发病症,曾经或者正在给很多患者和家庭带来痛苦,有些人因此改变生活状态(比如失去工作、长期卧床、股骨头坏死致残)甚至截肢、换关节等,病人遭罪,家人受连累。如能快速治愈骨折患者,不仅使病人减轻了痛苦,家属能够解放出来,而且还能避免一系列由于愈合期长甚至不愈合造成的后遗症,这些在我这里轻而易举就可以做到。

张雨更,男,1955年生,河北省衡水市冀州区小寨乡南小魏村人,初中学历;自1971年,16岁时开始学医,起初作为赤脚医生服务乡邻,而后考取乡村医生执业资格,享有乡村医生补贴,至今已从医40余年,虚度花甲。本人对中医这一民族文化的瑰宝非常热爱,自从医以来兴趣渐浓,勤学不辍。然由于文化水平有限,加之当时年代背景,学中医过程中也有很多欠缺之处,所幸家中有祖传的骨伤科秘本,对各种内外伤都有独到的秘方药物治疗,无论内服、外敷皆有特效,针对各种不同类型的骨折均有特效方剂,接骨散、接骨膏、接骨汤、麻醉药、生肌散、内伤还魂汤、续筋膏等都堪称神效,这些秘方在中医诊疗的运用中闪耀着传统医学的光芒,拥有极其重要的意义。




以骨折为例,与医院治疗的方式相比较:当今的医院的治疗方式都是围绕着固定做文章,未见促进断骨再生的有效药物,而医院手术治疗产生的巨额医药费,病人恢复期间长时间受病痛折磨,最后几乎个个落下残疾,余观之实在于心难忍。我处治疗骨折以中药内服、外敷为主,方法简单,无需手术,愈合期短,避免了手术风险与病痛,能达到彻底治愈:其效果比大医院强百倍。无论是从治疗程序上、病人所受的痛苦程度、花费、特别是致残率上,与大院相比真是天壤之别。现恰逢“新中医药法”的鼓励,斗胆自称是挑战大医院之人,目的是希望以此引起各界的重视。家传宝贝很多,除治疗骨折以外,创伤、烫伤、带状疱疹、三叉神经疼及各种疼痛等等均方简效宏。希望乘新政之东风,让中医的传家宝能够真正为黎民百姓带来福祉。



治疗骨折的临床效果;
中医运用秘方药物治骨折见效非常迅速,在一般情况下用药三天内断骨即可长住(有个别患者最快二十分钟见效),三周基本长好。体质不同、骨折的部位不同愈合时间也相应有所区别,儿童和健康体质的人长得最快,老年人体弱多病的需要调理后才会骨痂生长。

这里所说的长住是指断骨腔内大量分泌的骨胶将断骨黏住,骨胶逐渐地硬化长成软骨,再逐渐钙化成为内骨痂,骨折线模糊期,也就是内骨痂形成期:所说的三周基本长好也就是这个时期,股骨、肱骨需要四周的时间才可以达到骨折线模糊,股骨颈骨折还会晚一周,达到临床愈合。
2)临床治疗过程中,对于骨延迟愈合、骨不连、陈旧性骨折(治
疗过3-6年不长的)均能达到断骨再生的效果:对于粉碎性骨折
用药后可使游离性碎骨自动复位。
3)针对当前股骨颈骨折,由于术后长时间不愈合造成股骨头坏
死的情况,如直接或术后应用此方,将大大缩短愈合时间,从而避
免了股骨颈骨折所致缺血性股骨头坏死。


此方法具有极大的现实推广意义,如能普及,必将会挽救无数病患及家庭。
此前行医数十年过程中,通过网络及线下与医院治疗骨折的效果进行多次横向比较,如此疗效是众多大医院都是远远不及,当然也并未得到大医院医学博士、专家的认可,这大约是两种治疗思路的不同造成的。疗效具有最好的说服力。

重大意义:运用加特效传秘方达到断骨快速愈合的效果,大约节省2/3的愈合时间,一是大大缩短了病人术后康复以及固定时间,减轻病人的痛苦;二是避免了由于长期固定造成肌肉僵直等后遗症和手术伤害;三是帮助病人节省了工作学习的时间;四是帮助陈旧性骨折患者恢复健康,重回工作岗位和社会,找回自身价值和自信: 五是帮助病患节省巨额的手术费用,避免手术风险。
患者病例:
1、寇红魁,男,44岁,电话;180*****328,衡水市冀州区小寨乡寇杜村人,是一位货车司机,在一次装车过程中一捆钢材滚落,砸压全身,所幸钢材另一端落在马路牙,才捡回性命(患者自述)。钢材砸伤致18块骨骼不同程度的骨折,事故现场在天津静海,患者自述入院时血压为零,经医院抢救生命已无大碍,但是医生认为能够站起来的希望几乎为零。因患者家属入院期间询问我处,强烈建议其不要手术,半月后家属带患者来我处治疗。就诊日期为;2016年7月7日,经治疗五周便可以自由活动了,又治疗两周告愈。这一病例的特殊性是多处骨折,腰椎横突四块离位,用药后完全长好,离位的碎骨都已经自动复位,没有一处手术固定,完全靠药物的力量治愈,让一个不可能站起来的人站起来了,而且还未落任何后遗证,两个月后又回到工作岗位。患者家属由衷感谢,说;不但救了一个人,还挽救了一个家庭,因为此人为一家的主力。
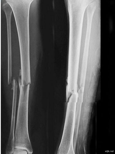
2、曹元吉,男,85岁,电话;0318*****78,衡水市冀州区小寨乡北小位村人,因滑倒摔伤,致左胫骨平台纵裂10余公分长,左髌骨成三瓣粉碎性骨折,如在医院里治疗必定是固定手术,一年也恢复不了正常活动。2015年2月3日来诊,未做任何固定,用特效接骨汤,接骨散内服,外贴生鲜膏仅两周就可以下床逐渐活动了,用药3天,髌骨长住,用药三周告愈。未留任何后遗症,曹老先生是一位退休老医生,逢人就说;我干了一辈子医生,没听说过有这等快速治骨折的药物。这是一例老年人骨折,具有一定的代表性,类似案例也接诊过很多。



3、徐瑞波,男,68岁,衡水冀州区门庄乡西徐家庄村人,电话;0318*****25,因车祸造成左腿胫骨两处,腓骨一处中段粉碎性骨折,三年来骨痂只有极少部分连接,多处求医问药无效。患者2015年1月14日来诊,望:病人的左小腿皮肤全部变为黑色;问:有无夜间疼痛,答有空心疼感不是太严重;从而得知其骨腔内瘀血斑已经形成,不久便会骨内坏死,面临的必是被截肢的厄运,医院也建议截肢。病人不忍心面对被截肢后的生活,所以苦求于我,我当时也没有完全把握能治好,所以商议试治四周,不见好转立即停药,商定后开始治疗,治疗三周皮肤开始退去黑色变为嫩色,有了好转迹象,治疗七周黑色的皮肤完全变得红润,除一小块约两公分之处没有变好,片子上显示是植假骨的位置,其余完全长好,骨痂也都长好了,这也是我的医疗奇迹,把将要截肢的病人真的治好了。这也是我内心最为喜悦的一例。
4、金汉华,男,48岁,电话;138*****815,江苏海安县曲塘镇人,胫骨骨折6年骨痂不长,曾经做过两次清创术,多处求药均无效,2015年8月26日与我取得联系,我怕时间太长了,断骨腔内淤血坏死,怕有麻烦,病人苦苦哀求,不然就要截肢,只好说定治不好不承担责任,治疗两周不见效果立即停药,如见效治疗七周,如此用药治疗七周病人拍片检查,骨痂完全长好了。这是骨痂不长时间最长的案例。
5、王秀梅,女,88岁,电话;137*****269,左第二根肋骨根部骨折,左肱骨近端骨折,2015年3月23日来诊,用药两周症状完全消失,活动正常,这是一例年龄最大,恢复最快的医案。
以上介绍的是几则代表性病例,能够帮助病人解除痛苦是我们医生的职责所在。医者仁心,仁怀天下苍生!每次治好病人,内心由衷的喜悦;每每看到很多骨折病人由于不知道如何选择医生、不相信中医、或者在现代医学体系治疗下致残诸多,备受痛苦时,又是感同身受,于心难忍,他们明明可以有更好更快痛苦更小的治疗方式!可是他们却不知道。这就是我毕生执着的原因,想要更多的人了解古老的中医接骨技术,也想让这项技术帮助更多的人!唯此方能心安!

除治疗骨折以外,创伤、烫伤、带状疱疹、三叉神经疼及各种疼痛等等,
均方简效宏。
1、无疤治疗烫伤
2、外用药水快速治愈跌打损伤肿痛(当天治愈)
3、外用药治疗关节炎
4、膏贴治疗固定地点疼痛
5、膏贴治疗股骨头坏死
希望我热爱的、古老而有生命力的中医能够被越来越多的人接受,能够帮助越来越多的人解除痛苦!
欢迎有能力的科研单位、企业、朋友共同探讨合作,

健康咨询电话18630583167























