当接到中国科学院院士、上海德达医院(下称德达医院)首席医疗官葛均波的远程指令时,德达医院心内科团队成员可以说是处在千钧一发之际——80岁老年男性患者,突发胸痛入院,左主干四分叉病变,冠状动脉造影见左主干中段至远段狭窄95%。如何化险为夷,让这位八旬老人转危为安,考验着主刀医生们的医术与胆量。
在患者最佳的抢救时间里,他们迅速制定手术策略,灵活机动地应用医疗技术与器械,用最简单的术式,破解较为复杂的手术难题,最终挽救了老人的生命。

上海德达医院心内科团队
高龄老人的手术难题
早在10年前,这位老年患者开始反复出现活动后胸闷气促,并于2001年及2007年行冠状动脉介入治疗,于右冠状动脉及前降支中段各植入支架1枚。2017年底,老人就诊于当地医院,查冠脉造影提示左主干中远段严重狭窄。“当时,当地医生因为种种原因,并没有给他进行介入治疗,同时也被很多心外科医生拒绝。”主刀医生、德达医院心内科特聘专家葛雷介绍说,“所以,老人一直在保守治疗——药物治疗,但并没有达到很好的治疗效果,导致病情越来越严重,临床情况变得非常复杂。”

上海德达医院心内科特聘专家葛雷
2018年4月中旬,老人突发胸闷胸痛,家人将其送到德达医院就诊。
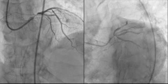
与2017年11月相比,老人的病情有了进一步发展。当日冠脉造影见左主干中段至远段狭窄95%,前降支开口狭窄80%,而且中段发出第一对角支后狭窄95%。葛雷解释道,“左主干相当于是水龙头的总开关,如果有严重的狭窄,一部分患者可能会因此出现心绞痛,一部分患者可能会猝死,还有一部分患者可能会出现心衰。”
左主干病变在10年前是心内科治疗的禁忌症,临床上往往以心外科搭桥治疗为主。近几年,随着医生技术的进步和医疗器械的发展,其已是国内很多医疗机构和医疗中心常规开展的诊疗项目。“但这位80岁的高龄老人,左主干严重狭窄同时累及到前降支、回旋支及粗大中间支开口。”葛雷表示,疾病本身的特殊性加上病变解剖的特殊性,使得急诊介入或搭桥手术风险和难度同时增加了数倍。
机动灵活的手术策略
“套路决定思路,应变决定成败。”面对复杂的临床情况,当既定方案探索失败,是孤注一掷的“炫技”,还是以“保证患者的安全”为宗旨,灵活机动地转换手术策略?德达医院心内科团队自组建起,就一直坚持后者,这次也不例外。
“首先,要保证导引钢丝在最短的时间内顺利通过非常严重狭窄的病变部位,到达冠状动脉的远段。”葛雷告诉健康界,因为患者年龄较大,且左主干及四分叉严重堵塞,所以介入治疗的术者,要保证任何一根血管都不能丢掉,否则,对患者来说会有灾难性的后果。
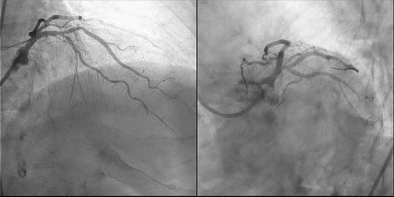
一波三折的手术过程。冠脉造影显示,患者左主干狭窄程度在95%,因此首先要让导引钢丝要通过非常严重的狭窄,但患者左主干和前降支之间角度非常大,葛雷介绍说,“首选的常规导引钢丝未能通过左主干严重狭窄的病变处进入狭窄的前降支血管。”
随后,手术组迅速调整手术策略,果断使用常用于慢性闭塞病变的Fielder XT-R导引钢丝及Kaneka双腔微导管。“经葛雷教授轻柔的操作,顺利将Fielder XT-R导引钢丝通过最狭窄的部位,顺利送至前降支的远端。”德达医院心内科主任李延林表示,相对常规导引钢丝,Fielder XT-R有两个优势:一是头端非常软,二是带有亲水涂层。
“如果我们不能够灵活机动地采用恰当的技术,有可能就会犯错误,给患者带去无法挽回的损失。”李延林回忆道。

患者术前部分影像学资料

患者急诊介入术后部分影像学资料
沟通到位 保证绿色通道通畅
“时间就是心肌,时间就是生命。”心脏患者的抢救贵在快速及时,为了使急性心肌梗死的患者得到更快、更好的治疗,1999年葛均波倡导成立华东地区第一条24小时抢救急性心肌梗死病人的“绿色通道”,挽救了无数心梗患者的生命。
“德达医院的‘绿色通道’就是在葛院士的倡导下建立的。”李延林告诉健康界,这是希望急诊心脏患者能够迅速得到最佳的治疗,救治的中间环节尽可能排除非医疗因素的影响。
要保证绿色通道通畅,最重要的是沟通到位。
以本文提到的老人患者为例,当德达医院心内科主诊医生和亚萍结合心电图和患者病史,意识到患者情况危重后,立即向上级汇报,申请绿色通道救治。“当时还在外地的葛均波得知后,第一时间指挥成立手术组。”李延林主任回忆说。接到指令后,包括他和黄士轩医生在内的心内科团队成员迅速做出响应,在很短的时间内就搭建好以葛雷为主刀的手术团队,对患者实施救治。现在,老人已经平安出院,且恢复情况良好。
让李延林印象深刻的还有一个细节。“如果需要,我立刻往回赶!”葛均波看到有需要接受治疗的心脏急症患者,马上做出上述回应。“尽快赶到患者身边,尽快救治患者。”李延林认为,这充分体现了绿色通道的核心价值。
此外,为使绿色通道发挥更大价值,德达医院还专门增设给急诊医生的培训课程。“急诊科都是临床经验丰富的高年资医生,能够进行专业的诊断。”李延林表示,通过专门的值班电话和微信群,急诊医生能在最短的时间内将患者病情告知相应的心内科和心外科医生,并采取相应的救治措施。
为患者安全保驾护航
在此次手术过程中,德达医院做了充足的准备,为患者安全保驾护航。
“术前,葛均波院士亲自打电话与手术组成员沟通手术方案,并在术中通过网络了解手术进展,远程指导手术步骤。”李延林告诉健康界,当时还紧急与心外科团队沟通,介入手术中,心外科主诊医生一直守候在杂交手术室,万一心内科手术不顺利,心外科立刻采取急诊开胸搭桥抢救。
“此次手术的患者,是通过身边的病友了解到我们医院的。”李延林说,目前通过口碑传播的方式来德达医院就诊的患者在逐渐增多,希望未来,能让德达医院始终践行的“以患者为中心”的医疗服务惠及更多患者。
【团队简介】
上海德达医院心血管专科拥有临床实践经验丰富的心血管医疗团队,为中国及国际患者提供涵盖预防、筛查、诊疗、康复的心血管全程医疗服务。可开展从心脏介入诊疗、外科手术、到各类疑难危重手术的内外科联合治疗。在科研教学领域,德达心血管专科与哥伦比亚心脏中心及国内同行定期开展各类心血管疾病的临床技术交流和研究,携手促进中国心血管诊疗水平的提升。
德达心血管专科备有38间重症监护病房,7间手术室,2间心脏导管室和2间复合手术室。配备飞利浦、思泰瑞、迈柯唯等多家跨国公司先进的医疗诊断和服务设备。
























