在日常生活中,由于饮食结构与生活习惯的异同,导致孩子腹痛的原因很多,有生理性腹痛和病理性腹痛。生理性腹痛的孩子如果一切生活正常,生长发育良好,平时表现活泼,家长就不要担心。病理性腹痛原因比较复杂,有感染性疾病引起的腹痛和非感染性疾病引起的腹痛。
慢性腹泻或腹痛反复难好,当心自体免疫的发炎性肠道疾病作怪!一女孩在小学时期就比同龄瘦小,妈妈为她进补长高也无用,平日经常就跑厕所,就连社交生活也受影响,直到就医经大肠镜检查确诊为溃疡性结肠炎,这才恍然大悟,原来是肠道出了问题。

发炎性肠道疾病:溃疡性结肠炎和克隆氏症 自体免疫攻击肠道黏膜
高雄长庚纪念医院胃肠肝胆科系副教授级主治医师戴维震表示,发炎性肠道疾病分为溃疡性结肠炎和克隆氏症两种,这类患者本身免疫系统不平衡并会攻击肠道黏膜,引起肠道溃疡、出血,用药如类固醇、免疫抑制剂等,病患免疫功能被压低,就容易受到病毒和细菌感染。正值武汉肺炎疫情严峻期,戴口罩、勤洗手,避免出入人多公共场所,都是一种自我防护措施。
当抗发炎药物、类固醇和免疫抑制剂无法有效缓解肠道发炎症状,针对严重或反复发作的发炎性肠道疾病患者建议使用生物制剂治疗,第一代的抗肿瘤坏死因子α制剂(Anti-TNF-α)抑制肠道的发炎时,也抑制全身的免疫功能;至于新一代的肠道选择性生物制剂直接作用于肠道,进行肠道黏膜修复,不会降低整体免疫力,感染风险低,安全性相对高。
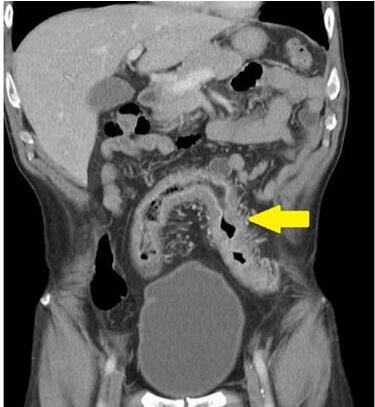
确诊疾病很重要 治疗发炎性肠道疾病才能对症下药
戴维震医师指出,早期很多人不晓得自己罹患发炎性肠道疾病,加上诊断工具也有局限,现在医界与民众对发炎性肠道疾病已愈来愈广泛认识,唯有确诊后才能依照病情症状的严重度进行后续治疗。
目前评估及后续监测病患肠道发炎情形,临床上可以透过如抽血检验白血球、发炎指数,或是合并粪便中钙卫蛋白的自费检测来定期追踪,不过最直接的方式是内视镜检查,大肠镜可以看到大肠黏膜,判断是否有溃疡性结肠炎或克隆氏症;克隆氏症有时会侵犯小肠,此时必须藉助小肠镜或胶囊内视镜来确定诊断。
一旦确诊为发炎性肠道疾病,患者在急性期应采低渣饮食,平时亦可适时补充对肠道消化有帮助的益生菌,但不建议进补或摄取营养品,应饮食均衡,避免过油、过咸、太辣或容易引起胀气的刺激性食物,也可补充叶酸、瘦肉、动物内脏、海鲜类或深绿色蔬菜等富含铁质食物,改善贫血问题。
肠胃炎、肠躁症分不清? 症状反复两周至一个月应就医
戴维震医师提醒,肠胃疾病在临床上常容易混淆,通常压力大或饮食不正常引发的肠躁症或肠胃炎,服用肠胃药多半就会改善,若经过两周到一个月时间,症状仍然反复发作,就可考虑进一步做大肠镜等内视镜检查,来确认肠道是否有慢性发炎情形。























