
巨噬细胞(大食細胞, Macrophage)
巨噬细胞 很难被培养,巨噬细胞的活性化的因子那就是GcMAF,人体是通过 巨噬细胞+GcMAF(蛋白质+巨噬细胞活性化因子)的运作 来杀死癌细胞的, 正常人体内也有癌细胞, 身体里的巨噬细胞每天都在 吞噬这些癌细胞,这些 癌细胞 每天都会 分泌出癌细胞分泌-N-乙酰半乳糖胺酶(NaGalase)到血液里,导致血清维生素D3-结合蛋白质(称为GC蛋白),这是巨噬细胞活化因子(MAF)的前体的去糖基化的。 NaGalase的增多 会破坏身体里的,巨噬细胞+GcMAF(蛋白质+巨噬细胞活性化因子) 让他们无法正常的运作,无法杀死癌细胞,一旦GcMAF(蛋白质+巨噬细胞活性化因子)收到破坏就无法正常的供应巨噬细胞的运作,会导致整体细胞的崩溃,一旦巨噬细胞受损,就无法吞噬癌细胞并 给下一个细胞传达指令像T细胞 就无法杀死癌细胞 B细胞也无法辨别 癌症细胞名称,整个系统崩溃,癌细胞扩散的就会越来越快 所以 免疫治疗 就是通过 GcMAF(蛋白质+巨噬细胞活性化因子)的活性化让更多的 GcMAF工作起来 帮助巨噬细胞迅速的,准确的吞噬癌症细胞,并给于其它细胞指令,杀死体内存活的 癌细胞。
巨噬细胞活性化疗法是一种把人体内沉睡的免疫细胞(巨噬细胞)激活后的治疗法。
巨噬细胞(大胃细胞・贪食细胞)的概念
1. 起到NK细胞的功能
巨噬细胞是一种能吃掉癌细胞、病毒,和细菌的细胞。它起到了NK细胞的作用
1. GcMAF 是能把沉睡的免疫细胞激活的最强物质。
2. Gc 蛋白质是最重要的巨噬细胞活性化因子的先驱性物质。Gc 蛋白质会切断一部分被癌细胞或者 艾滋病毒感染的淋巴球分泌的酵素 Nagalase,从而使其不能转 换为巨噬细胞活性化因子。其结果造成巨噬细胞保持沉睡状态,保持一种很强的免 疫抑制状态。能激活这些沉睡的巨噬细胞的史上最强物质就是 GcMAF。特别是 对癌症、艾滋等处于完全地免疫不完善的状态的疾病来说 ,这些患者体内本身具 有的巨噬细胞迫处于沉睡状态,发挥不了任何的作用。
3. 从患者或家属体内抽取约 110ml 的血液 从中提取 Gc 蛋白,在 CPC(细胞培养中心)用 酵素处理 后定制最强有力的 GcMAF 进行注射。从此开启了患者的免疫功能的大 门。这就是巨噬细胞活性化疗法的原理。
巨噬细胞是从占血液细胞白血球5 %的单球(单核白血球)中分化而来的。是负担免疫细胞中心作用的变形虫状细胞,吞食并消化入侵身体的细菌、病毒、或者异物(癌细胞)。
巨噬细胞分2种, 有使免疫功能活性化的“M1巨噬细胞”和抑制免疫功能的“M2巨噬细胞”。
到了最近,除了上述2种,研究人员认为还存在着“古典活性化巨噬细胞”、“创伤治愈巨噬细胞”、“抑制巨噬细胞”或者他们的中间型的活性化状态。
在巨噬细胞的活性化多样化和重要作用还没有充分被理解的情况下,近年来有不少临床案例报道关于巨噬细胞疗法对艾滋、乳腺癌、大肠癌、前立腺癌患者完全治愈的消息。正因为如此,我们对活性化巨噬细胞的评价、认识出现了一种很大转变的可能性。
活性化巨噬细胞破坏癌细胞的过程有两种方式
[1]活性化巨噬细胞和癌细胞直接结合的方式。
[2]活性化巨噬细胞游离·释放某种化学物质(比如过氧化氢)来破坏癌细胞的方式。
2. 起到树突状细胞的作用
通过辅助T细胞、B淋巴球提示吞噬的癌细胞・病毒・细菌,也就是说起到了树突状细胞的作用。
巨噬细胞如果摄入抗原后会放出细胞因子,使特定的T细胞活性化。巨噬细胞通过吸收、分解后将异物分成几个断片,和细胞内原本持有的CLASS II MHC (MHC-II) 结合 ,在细胞表面产出。这个我们把它称为巨噬细胞的抗原呈递。

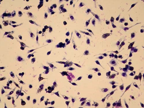
巨噬细胞(紫色)正在吞噬癌细胞
3. 血管新生抑制作用
动物实验确认GcMAF对癌细胞的血管新生有抑制作用。
巨噬细胞的吞噬经过

a. 吞噬的异物被吞噬体吸收
b. 食物胞和溶酶体相融合形成吞噬溶酶体,异物被酵素破坏
c. 残渣被排除细胞外(或者被消化)
1.异物(病原体)、2. 食胞3. 溶酶体、4. 残渣、5. 细胞质、6. 细胞膜
2. 吞噬细胞产生的抗原呈递细胞的信号,在T细胞中被传达给叫做辅助T细胞的淋巴球。在辅助T细胞的表面存在其特有的叫做CD4的蛋白质和叫做T细胞受体(TCR, T-cellreceptor)的受体蛋白质,分别和巨噬细胞的MHC-II、巨噬细胞的呈递产生的抗原体相结合,从而促进辅助细胞的活性化。T细胞受体的构造根据辅助性细胞而不同,只有与巨噬细胞呈递而成的抗原片断相吻合的受体的T细胞才会被活性化。
3.被激活后的辅助T细胞会通过产生interleukin(白细胞介素)和lymphokine(一种淋巴因子,淋巴激活素)等类似激素的组织(细胞因子)来激活巨噬细胞。与此同时,会激活相同抗原的B细胞。被激活的B细胞会分化增殖成一种产生抗体的细胞,并产生、放出和抗原相对应的抗体。这些抗体和抗原以特异方式结合产生抗体-抗原复合体。巨噬细胞被这种抗体-抗原复合体吸引,然后贪食这种复合体。对于抗体结合后的细菌和病毒来说,巨噬细胞能非常高效地将他们吞噬。而此时的T细胞会释放淋巴因子等活化巨噬细胞,并帮助B细胞进行增殖和分化。
因此,巨噬细胞疗法是一种能最大限度地激活人体本身具备的免疫系统的疗法。而且,也可以说是同时兼备了NK细胞疗法+树状细胞疗法的治疗方法。

GcMAF概念
1. GcMAF是能把沉睡的免疫细胞激活的最强物质。
2.Gc蛋白质是最重要的巨噬细胞活性化因子的先驱性物质。Gc蛋白质会切断一部分被癌细胞或者 艾滋病毒感染的淋巴球分泌的酵素Nagalase,从而使其不能转换为巨噬细胞活性化因子。其结果造成巨噬细胞保持沉睡状态,保持一种很强的免疫抑制状态。能激活这些沉睡的巨噬细胞的史上最强物质就是GcMAF。特别是对癌症、艾滋等处于完全地免疫不完善的状态的疾病来说 ,这些患者体内本身具有的巨噬细胞迫处于沉睡状态,发挥不了任何的作用。
3. 从患者身体抽取约110ml的血液 从中提取Gc蛋白,在CPC(细胞培养中心)用酵素处理 后定制最强有力的GcMAF进行注射。从此开启了患者的免疫功能的大门。这就是巨噬细胞活性化疗法的原理。
针对疾患
・巨噬细胞活性化疗法对癌症、乙肝、丙肝、疱疹、流感、肺炎、结核、EB病毒感染症 等多种疾患有效。
使用时,偶尔会发生发热和湿疹症状(几率非常小)。
・和其他治疗法的并用
・可用少量的类固醇。
・超音波动态治疗并用时,可以期待癌症的局部破坏和全身免疫疗法的双重效果。
・可与化疗药物并用。也可以和免疫复合疗法(温热疗法・低用量纳曲酮・α脱氧酸・高浓度维他 命C或者Coley疫苗)并用。
・并用时希望最少用5,000 IU的维他命D。因为大约80 %的癌症患者或者艾滋病患者的血液中缺少维他命D。因此为了使GcMAF充分地发挥作用,有必要使用能促使其到达正常功能的维他命D。
GcMAF?
(Gc Protein derived Macrophage Activating Factor)

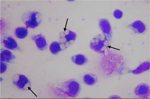
紫色是通过GcMAF活性化的巨噬细胞在吞噬红色细胞
(照片提供-Tokushima大学)
GcMAF是包括癌症.切除我们体内疾病.不可缺少的蛋白质.人体血清里的巨噬细胞活性物质(血清MAF)是抗癌治疗里的强烈治疗剂.起着巨噬细胞活性化功能.
这种蛋白质通过巨噬细胞活性化.切除包括癌症的各种疾病.所有正常人体内都有着GcMAF.70亿人类中健康人群都能从自身体内再生GcMAF.
没有GcMAF我们体内的免疫系统将无法正常运作.免疫系统崩溃导致癌症.疾病的慢性化.如果我们体内没有每天新生的GcMAF.在无法战胜疾病的情况下在小时候我们可能就会面临疾病死亡.
健康人的体内每天都会产生10.000左右的癌细胞.我们体内的GcAMF起着6种功效.每天都在毁坏这些癌细胞.6种功效其中一种功能就是直接促进吞噬癌细胞的.NK细胞.巨噬细胞.其余GcMAF有着20多种对抗各种疾病的功能.
人在受到巨大冲击.举例 所有财产被盗.或是因肺炎人体虚弱.身体内会发出大量Nagalase来防止GcMAF生产.这时候GcMAF20多种功效(针对癌症的各种功效)全部停止运作.
这时候从体外注射GcMAF只需几分钟身体各个功能开始启动对战疾病.3周以内将GcMAF20多种功效其中的一种“提升免疫系统”这个功效调整到正常范围以上.然而GcMAF几乎没有副作用.
巨噬细胞活性化因子(MAF)是什么?
(Macrophage Activation Factor)
巨噬细胞活性化因子(MAF)是提高巨噬细胞活性化.转化为吞噬癌细胞的蛋白质.维生素DBP(Gc蛋白质)Gc蛋白质是最强的MAF(GcMAF)
维生素D组和蛋白质
(Vitamin D binding protein : DBP)
维生素D组合蛋白质 被大家以Gc蛋白质所认知.
主要在紫外线照射下或阳光暴晒下.从肝部产生结合蛋白质.
在运输和储存过程中和我们体内25(OH)维生素D结合.
有着各式各样形态的DBP.其中以非MAF656Da蛋白质居多.
维生素DBP是肝病.外部G-结合蛋白质重要成分.
维生素DBP是GalNAc- 变形.通过Gc蛋白质.起到巨噬细胞活性化作用.
维生素DBP破坏我们体内激素. 摄取 维生素D.活性化配置.
或是在生物化效应里几乎没有影响.所以发生问题的可能性很少.
维生素结合D蛋白质是我们体内基本的巨噬活性化因子.
影响维生素DBP数据的因素
肝病会减少维生素DBP(Gc蛋白质)
慢性肝病肝数值降低到急性肝功能衰竭以下.
外伤及手术会减少维生素DBP数量.微生物侵入血液.因炎症引起浑身炎症综合症(systemic inflammatory response syndrome: SIRS)比维生素DBP的增值数量下降速度要快.
血清维生素DBP(Gc蛋白质)正常数据350-500mg/l.
数据显示 80mg/l以下Gc蛋白质数据在阳性时85%.阴性时43%时的死亡率数值.
幸存者数值在102mg/l以上.
GcMAF生理活性作用
激活吞噬细胞活性功能.超级氧化生产量增加.抑制新血管.提升抗肿瘤活性化.
提高血液单核细胞数量.促进树枝状细胞生长.以上6种作用尤其重要.
到目前为止没有.血液单核数增多.促进树枝状细胞成长等的报告案例.
2nd GcMAF(第2代GcMAF)是?

第2代 GcMAF和食菌作用分析
1.将沉睡中的免疫细胞(巨噬细胞)活性化的史上最强物质.
2.也是.最重要的巨噬细胞活性化因子的先驱者.
Gc蛋白质是因癌症.艾滋病.病毒等.感染的淋巴细胞所分泌出来的NaGaLase.这会使体内一部分系统被切断导致不能转换为巨噬细胞活性化因子.不能吞噬病菌.病毒.癌症.
让巨噬细胞进入沉睡状态.免疫系统强制性的被压制.
特别是癌症.艾滋病.等疾病完全处于缺乏免疫状态.导致巨噬细胞起不到任何的作用.
患者自身的血液或是家人健康的血液中採取Gc蛋白质在CPC(细胞培养中心)培育出最强的2nd GcMAF进行注射.
这样一来可打开免疫系统开关.这就是免疫细胞活性化疗法.
第2代GcMAF是日本医疗团队和德岛大学的研究员.经过20年研究出来的全新医疗法.
比之前的GcMAF浓度增强10-15倍.更加安全的增强活性化的GcMAF在.无菌.细胞处理中心.以崭新的形势进行培养.重要的是这种高容量2nd GcMAF对患者没有副作用更安全的起到治疗效果。临床上得到证明.
但是使用2nd GcMAF后100名中1名出现.短期的 微热.湿疹. 症状.过后恢复正常.
GcMAF的天敌Nagaiase
NaGaLase (Alpha-N-acetylgalactosaminidase)
NaGaLase是从健康的肝细胞里.正常生成的一种微小量要素.
GcMAF发挥着各种技能.起着让身体能自行治愈的功效.
但病菌.癌症.这种恶性细胞会分泌出NaGaLase.来妨碍GcMAF.
所拥有的各种有益功效.这种有效资源都会被中断.免疫系统恶化.
导致疾病慢性化.叛变不出来癌症细胞的情况下.癌细胞慢慢扩散.
但这种情况接受NaGaLase几分钟后.许多功能重新启动.开始正常工作.
NaGaLase是有害的吗?
NaGaLase在癌症细胞里大量分泌出来.
NaGaLase是妨碍Gc蛋白质和MAF的结合的一种物质.
肿瘤里产生出来的阿尔法-NaGaLase压制免疫系统.
导致癌症扩散感染.最终面临死亡.
NaGaLase做着什么样的工作?
NaGaLase是从益生菌bifodo菌少量生成.
因肠胃里的益生菌生成的NaGaLase起着.分解食物里的蛋白质的作用
在那里能发现NaGaLase?
NaGaLase在菌.病毒.感染细胞.霉菌里可以发现.
NaGaLase的正常血液浓度
NaGaLase正常血液浓度是0.38~0.63nmol/分mg蛋白质.
癌症患者NaGaLase蛋白质浓度是2.32nmol/分/mg以上.
参考放射线治疗能把NaGaLase分泌出的癌细胞数减少.
按原理放射线能提高MAF Gc蛋白质的活性化.
放射线治疗和光动力治疗能减少NaGaLase活性化.
巨噬细胞活性化疗法 GcMAF
(Macropharm = 2nd GcMAF)
研究所里把巨噬细胞和乳腺癌细胞(MCF7)放到一起.但没有发生任何变化.
但是加上GcMAF进行注射后的.72小时以内巨噬细胞把所有的乳腺癌细胞(MCF7)吞噬.
另外GcMAF和MCF7放在一起时.GcMAF把癌症细胞转化成正常细胞.
GcMAF在90岁以上患者身上也起到了作用.在切除大肿瘤上面也得到了证明.
遵守治疗方针的话4期癌症患者.通常也会在一周内病情得到好转.快的情况下往往会有25%肿瘤减少的案例.
有些患者在6个月治疗后.癌症痊愈.
如果患者有做化疗抗癌剂治疗.病情好转的时间会延长.
过渡进行化疗治疗的患者.血球和免疫数值较低的患者.进行GcMAF治疗前.首先要把降低的血球数值提高.
自身体内的专署内科医生
Macropharm疗法是给那些不能自身产生GcMAF患者的治疗法.
通过8天左右制造出来的GcMAF是小瓶装的药.
正常生产的话用完全无菌状态的注射液.是目前医生能做到的最亲和性.伦理的治疗方案.
Macropharm治疗起到代替免疫系统遗漏的部分.起到身体医院的作用.
Macropharm通过24阶段进行提取和分解.
最后一个阶段是除菌率和活性化率的检测.(试验结果没有出来的不是GcMAF)
Macropharm是通过各大大学.研究所以及医院检测.其结果为活性化状态和无菌状态.
成为数十个科学研究论文的对象.
GcMAF的效果
世界最先进的科学学术上发表的.研究论文临床结果.以下Macrophage功效得到认可.
1. 刺激巨噬细胞,活性化(吞噬细胞作用.破坏癌症细胞)
2. 抑制新生血管形成(切段肿瘤血液供应)
3. 癌症细胞增值以及转移潜力的抑制
4. 开始杀死癌细胞(诱导癌细胞自杀)
5. 把变形的癌细胞转化为正常细胞
6. 减少癌细胞转移到其它部位的可能性
7. 保护神经效果
8. 刺激体内神经
通过GcmAF信号形成人体的神经细胞大量活性化
〉〉自闭症.ME/CFS,MS,肌萎缩侧索硬化(ALS)
9. 减少慢性疼痛
10. 线粒体能源数量增加
〉〉ME/CFS(慢性疲劳症候群)
11. 镉等毒素的应对
〉〉ME/CFS(慢性疲劳症候群)
12. 压制炎症
13. 自闭症. 慢性疲劳症候群等治疗效果
14. 因抗癌.药物治疗引起的巨大压力下产生的.神经病症的疼痛去除
〉〉神经退化性疾病.自闭症病因就是在这种压力下产生
15. 分辨树上突起神经炎以及促进血液增加练习神经元素
〉〉自闭症 ME/CFS是神经元之间的连通性不足
16. 停止的免疫系统恢复
癌症手术前注射GcMAF
为切除肿块患者可以进行手术.最少手术3周前要开始注射GcMAF手术后进行8周GcMAF注射.
防止让恢复的免疫系统在手术后癌症病发率提高.
检查后即使肿块完全被切除Nagalase数据下降到0.65以下.也要继续注射GcMAF到8周.
多种疾病的治疗
Macropharm可根除像病毒感染引起的慢性炎症.乙型肝炎.
在各种疾病治疗上.起着比抗生素要好的效果.
在自闭症患者身上起到85%反应.15%的痊愈.慢性疱疹疾病50%以上效果.
其外慢性青春痘.慢性肝硬化.慢性肾脏疾病.慢性忧郁症.大肠炎.克隆氏症.纤维肌痛.肝炎. LMBBS, ME / CFS. 骨质疏松症. 牛皮癣.牙周炎.过敏等对各种免疫系统障碍起到效果.
根据研究显示 Macropharm 对 帕金森氏病,多发性硬化症(MS),痴呆及ALS等的 恶化进行防 御,做为免疫系统的导演,对于那些攻击,关节炎和狼疮这些细胞的物质,有着 防御等的功效,还有 对于创伤治愈也有效果.
对以下各种疾病治疗有着效果.
• 癌
• ALS(amyotrophic lateral sclerosis ALS)
• 老年痴呆症
• 自闭症 ››› 85%的应答率,25%的成功率,15%的完全恢复 自身免疫性疾病(各种过敏,过敏性皮• 肤,牛皮癣,白塞氏病,狼疮并)
• ME/CFS(慢性疲劳症候群)››› 所有情况下,70%恢复了
• 多发性硬化症
• 帕金森
• 结肠炎
• 克罗恩病
• 慢性忧郁症
• 纤维肌痛
• HLV(艾滋病)
• 慢性肾功能衰竭
• 肝病和严重的肝硬化(B型 C型 肝炎) LMBBS(Laurence-Moon-Biedl Syndrome) 慢性痤疮
• 疱疹病毒感症 骨质疏松症
• 牙周疾病
• 慢性炎症(关节炎. 狼疮)
• 流感 肺炎.EB病毒感染(病毒 EBV)
• 单纯疱疹病毒(HSV). 诺如病毒
• 流感. 疟疾. 骨痛热症
• 膀胱炎/尿路感染(UTI).子宫内炎症.选择性IgA(免疫球蛋白A)多动症
第2代GcMAF在自闭症患者治疗上起到了很大的效果
想了解更多请联系 HANIL BIOTECH有限公司.
地址: Dongyang BD 2F,214 Pungseong-ro,Gangdong-gu,Seoul,Korea
代表 : Kwang ik,Shin
公司名称 : HANIL BIOTECH有限公司
联系电话 : +82-70-7931-0691
FAX : 02-587-6868
国内联系电话:13973977767 谢先生
qq:1870513553 | 邮箱:1870513553@qq.com
网址:http://hanilbio.com/xe/
邮箱:hanilbio@naver.com
























