我们通常会认为要等到孩子牙齿都换完才能开始整牙,会觉得12.13岁是矫正牙齿的黄金时期,在这个阶段戴上钢牙,挂上皮筋,才是打开牙齿矫正的正确方式。但是生活中你遇到过家里的孩子这样的情形吗?


左图为4.5岁,右图为5岁,都是乳牙期间的地包天,即上面的门牙在下面门牙的内侧,会觉得孩子有一个明显的下颌前伸的动作,常伴随面中部的凹陷,容易下唇外翻,造成一定的面型发育问题。那么地包天是怎么形成的呢?


我们采访了江苏省口腔医院正畸专业的吴嵩博士,他曾为意大利拉奎拉大学,儿童口腔协会会长Marzo和欧洲正畸学会首席讲师Quinzi在中国的《儿童早期矫治》课程做过同声翻译。


吴博士说:“欧洲开展早期矫正已经接近30年了,他们给3-12岁的孩子用简单的活动矫正器解决早期的咬合问题,疼痛更低,效果更好,脸型调整的更快。他提供了一张宝贵的地包天族谱的遗传资料来为我们解释这个问题。

当48岁的父亲的牙齿是地包天时,他的两个儿子均有表现出前牙覆盖浅,前牙反合的倾向,女儿的咬合虽然相对较好,但前牙覆盖仍然偏小。地包天有着非常大的遗传性,暨如果爸爸妈妈是地包天,孩子出现地包天的几率非常大。那如果出现乳牙地包天后我们不管它,随着生长会变成什么样呢?等到12岁后,就容易出现下面的这些咬合变化。地包天会随着孩子长大,越长越差,越发严重。

等到12-18岁换完牙后再出现以上这些复杂的地包天时,往往就需要拔牙矫正,或者需要等到成年后做正颌手术了,孩子吃的苦头也不言而喻了。
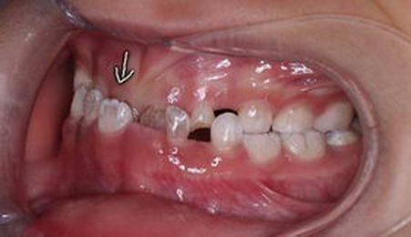
吴博士提供了自己一个5岁和一个9岁的孩子的早期矫正临床案例,并建议我们地包天的矫正时间是3-5岁,切记不要等到12岁再看,不然容易出现严重的咬合和脸型问题。如果家长无法判断咬合是否有问题,孩子3岁可以做第一次的正畸专科检查,防范于未然。

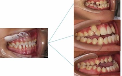
5岁男孩,通过4个月的早期矫正干预,
下唇外翻解决,脸型明显的改善。

9岁女孩通过早期矫正干预,
下颌前突解决,脸型变好。
























