咽喉,上与鼻腔口腔相通,下为呼吸食道入口,是呼吸道和消化道共同必经之径,既有吞咽及呼吸功能,又有保护与防御作用,所以咽喉所处的位置非常重要,素有“要塞”之称。

有一些朋友经常发现自己的嗓子动不动就“哑了”,还有一部朋友甚至是积年累月的“声嘶”,声音沙哑粗糙,说话都费劲,这到底是怎么回事呢?我们一起来看看专家怎么说!
导致“声嘶”的7大原因
声带自身的病变
声带息肉,声带小结,慢性喉炎 ,声带麻痹等疾病:患者多有过度发音,如长时间讲话,高声喊叫,长时间啼哭的病史,或者有用声不当,就会出现持续性声嘶,而声带小结和声带息肉多表现为持续性声嘶。

喉部肿瘤
良性肿瘤包括喉乳头状瘤、血管瘤、神经纤维瘤等,以喉乳头状瘤最常见。值得警惕的是,声音嘶哑可能是恶性肿瘤的早期信号。

喉癌
声音发哑,甚至刺耳,伴有喉部阻塞感,咳嗽,痰中带血,伴有颈部包块,年龄较大的病人要警惕喉癌的可能。

返流性喉炎
喉部异物感,伴有咳嗽,声音易发倦,或有睡前喜食,或经常出现返酸,嗳气,也可能是返流性喉炎,但有的返流性喉炎的病人也可仅有一种症状。
外伤
另外,外伤,包括环杓关节脱位,及喉部的物理化学损伤均可以导致声音嘶哑。

先天原因
喉的先天畸形,如喉蹼、声带发育不良(声带沟)等。
心理和情绪问题
癔症性声嘶,患者往往可因为心理或情绪等出现声嘶,喉部本身正常。可见,引起声音嘶哑的原因是多样性的。

有些喉部疾病如感冒引起的急性喉炎,经过休息和对症治疗很快会好转,而有些喉部疾病必须经过针对性治疗才会治愈。
如何区别你的声嘶是什么疾病?
喉镜检查
适用于鉴别器质性和功能性病变;判断器质性病变的范围与程度;确定声带麻痹的类型或轻重,并与环杓关节固定、声带炎、外伤等鉴别;初步判断声带肿物的性质;对声音工作者进行各种测试及指导发音训练。

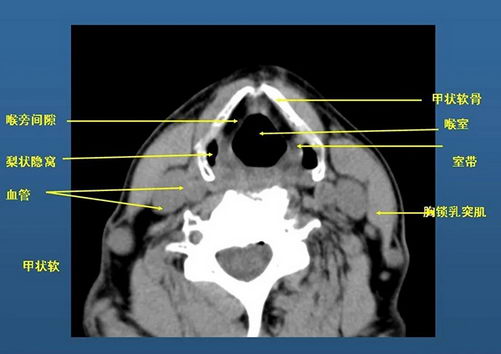
喉部CT
喉CT检查,适用于了解喉部及周围的组织解剖关系。

B超检查
可以显示声带的活动度,明确肿块的大小、形状、位置及病变是否破坏甲状软骨板等,从而对手术提供重要信息。
这些人要注意:声嘶要及时治疗!
由于工作性质关系用嗓过度、发声不当引起声带息肉、声带小结所致声嘶是职业经理人、商务代表、教师、音乐工作者等的最常见现代职业病。长期处于粉尘等重污染环境的人群。

声嘶不是小问题
患者如果出现长期、持续的声音嘶哑,讲话时症状加重,休息后症状缓解等情况,应及时前往医院就诊。
成都民生耳鼻喉医院咨询电话:028-87367296, 咨询微信:134-3805-0895

























